肺結核 : 肺結核的5大傳播途徑 每日頭條 / 肺結核之治療指引 姜義新 為便於查考,本文以提綱方式,敘述各種臨床狀況下應採行的標準作業程序, 並整理成總表二篇附錄於後。但仍請讀者撥冗閱讀指引原文。本文各藥物縮寫對照 如下: inh:isoniazid rmp:rifampin emb:ethambutol pza:pyrazinamide fqn:

肺結核 : 肺結核的5大傳æ'­é€"å¾' 每日頭條 / 肺結核之治療指引 姜義新 為便於查考,本文以提綱方式,敘述各種臨床狀況下應採行的標準作業程序, 並整理成總表二篇附錄於後。但仍請讀者撥冗閱讀指引原文。本文各藥物縮寫對照 如下: inh:isoniazid rmp:rifampin emb:ethambutol pza:pyrazinamide fqn:. 結核(けっかく、 tuberculosis )とは、マイコバクテリウム属の細菌、主に結核菌 (mycobacterium tuberculosis) により引き起こされる感染症 。 結核菌は1882年にロベルト・コッホによって発見された。 日本では、明治初期まで肺結核は労咳(癆痎、ろうがい)と呼ばれていた。 肺結核之治療指引 姜義新 為便於查考,本文以提綱方式,敘述各種臨床狀況下應採行的標準作業程序, 並整理成總表二篇附錄於後。但仍請讀者撥冗閱讀指引原文。本文各藥物縮寫對照 如下: inh:isoniazid rmp:rifampin emb:ethambutol pza:pyrazinamide fqn: 肺結核症狀 咳嗽 咳血 體重減輕 倦怠 夜間盜汗 發燒 呼吸困難 胸痛 單獨從症狀很難區別是肺結核、、肺炎肺炎、、肺肺 癌癌、、、或其他疾病或其他疾病,,若有疑問應即諮詢醫師若有疑問應即諮詢醫師 感冒治療咳嗽持續3 週以上,仍無法改善,仍無法改善, .弘光學報54期. 15 *通訊作者 照顧一位開放性肺結核患者接受隔離之護理經驗 唐蘊慧1 蘇梅鳳1* 宋琇玉1 蘇淑芳2 1弘光科技大學護理系 2高雄市立小港醫院 收到日期:97.3.10 修訂日期:97.4.7 接受日期:97.5.16 肺結核(pulmonary tuberculosis)俗稱的肺癆,是由結核分枝桿菌 感染人體肺部引起的一種慢性傳染病, 是結核病中最常見的一種。 典型肺結核起病緩漸,病程經過較長,常見症状有低熱、乏力、食欲不振、咳嗽和咯血等。 但多數患者常無明顯症状,經x線檢查時才被發現;有些患者則因咯血才去檢查就診。

結核(けっかく、 tuberculosis )とは、マイコバクテリウム属の細菌、主に結核菌 (mycobacterium tuberculosis) により引き起こされる感染症 。 結核菌は1882年にロベルト・コッホによって発見された。 日本では、明治初期まで肺結核は労咳(癆痎、ろうがい)と呼ばれていた。 肺結核,又稱結核病 (tuberculosis, tb), 是一種會攻擊、破壞身體組織的細菌性感染,菌種名是結核分枝桿菌 (mycobacterium tuberculosis, mtb) ,傳播途徑是空氣。 許多病患常受結核休眠菌影響,又稱作潛伏結核 (latent tuberculosis) ,視病人健康狀態而定,結核菌可能會在數週或數年後再次引起症狀,使肺結核. 肺結核(pulmonary tuberculosis)俗稱的肺癆,是由結核分枝桿菌 感染人體肺部引起的一種慢性傳染病, 是結核病中最常見的一種。 典型肺結核起病緩漸,病程經過較長,常見症状有低熱、乏力、食欲不振、咳嗽和咯血等。 但多數患者常無明顯症状,經x線檢查時才被發現;有些患者則因咯血才去檢查就診。 .弘光學報54期. 15 *通訊作者 照顧一位開放性肺結核患者接受隔離之護理經驗 唐蘊慧1 蘇梅鳳1* 宋琇玉1 蘇淑芳2 1弘光科技大學護理系 2高雄市立小港醫院 收到日期:97.3.10 修訂日期:97.4.7 接受日期:97.5.16 肺結核症狀 咳嗽 咳血 體重減輕 倦怠 夜間盜汗 發燒 呼吸困難 胸痛 單獨從症狀很難區別是肺結核、、肺炎肺炎、、肺肺 癌癌、、、或其他疾病或其他疾病,,若有疑問應即諮詢醫師若有疑問應即諮詢醫師 感冒治療咳嗽持續3 週以上,仍無法改善,仍無法改善,

肺ç»
肺ç»"核可怕吗 é'海大学附属医院 from www.qhuah.com
肺結核症狀 咳嗽 咳血 體重減輕 倦怠 夜間盜汗 發燒 呼吸困難 胸痛 單獨從症狀很難區別是肺結核、、肺炎肺炎、、肺肺 癌癌、、、或其他疾病或其他疾病,,若有疑問應即諮詢醫師若有疑問應即諮詢醫師 感冒治療咳嗽持續3 週以上,仍無法改善,仍無法改善, 結核(けっかく、 tuberculosis )とは、マイコバクテリウム属の細菌、主に結核菌 (mycobacterium tuberculosis) により引き起こされる感染症 。 結核菌は1882年にロベルト・コッホによって発見された。 日本では、明治初期まで肺結核は労咳(癆痎、ろうがい)と呼ばれていた。 肺結核(pulmonary tuberculosis)俗稱的肺癆,是由結核分枝桿菌 感染人體肺部引起的一種慢性傳染病, 是結核病中最常見的一種。 典型肺結核起病緩漸,病程經過較長,常見症状有低熱、乏力、食欲不振、咳嗽和咯血等。 但多數患者常無明顯症状,經x線檢查時才被發現;有些患者則因咯血才去檢查就診。 肺結核,又稱結核病 (tuberculosis, tb), 是一種會攻擊、破壞身體組織的細菌性感染,菌種名是結核分枝桿菌 (mycobacterium tuberculosis, mtb) ,傳播途徑是空氣。 許多病患常受結核休眠菌影響,又稱作潛伏結核 (latent tuberculosis) ,視病人健康狀態而定,結核菌可能會在數週或數年後再次引起症狀,使肺結核. .弘光學報54期. 15 *通訊作者 照顧一位開放性肺結核患者接受隔離之護理經驗 唐蘊慧1 蘇梅鳳1* 宋琇玉1 蘇淑芳2 1弘光科技大學護理系 2高雄市立小港醫院 收到日期:97.3.10 修訂日期:97.4.7 接受日期:97.5.16 肺結核之治療指引 姜義新 為便於查考,本文以提綱方式,敘述各種臨床狀況下應採行的標準作業程序, 並整理成總表二篇附錄於後。但仍請讀者撥冗閱讀指引原文。本文各藥物縮寫對照 如下: inh:isoniazid rmp:rifampin emb:ethambutol pza:pyrazinamide fqn:

肺結核症狀 咳嗽 咳血 體重減輕 倦怠 夜間盜汗 發燒 呼吸困難 胸痛 單獨從症狀很難區別是肺結核、、肺炎肺炎、、肺肺 癌癌、、、或其他疾病或其他疾病,,若有疑問應即諮詢醫師若有疑問應即諮詢醫師 感冒治療咳嗽持續3 週以上,仍無法改善,仍無法改善,

肺結核,又稱結核病 (tuberculosis, tb), 是一種會攻擊、破壞身體組織的細菌性感染,菌種名是結核分枝桿菌 (mycobacterium tuberculosis, mtb) ,傳播途徑是空氣。 許多病患常受結核休眠菌影響,又稱作潛伏結核 (latent tuberculosis) ,視病人健康狀態而定,結核菌可能會在數週或數年後再次引起症狀,使肺結核. 肺結核之治療指引 姜義新 為便於查考,本文以提綱方式,敘述各種臨床狀況下應採行的標準作業程序, 並整理成總表二篇附錄於後。但仍請讀者撥冗閱讀指引原文。本文各藥物縮寫對照 如下: inh:isoniazid rmp:rifampin emb:ethambutol pza:pyrazinamide fqn: 肺結核症狀 咳嗽 咳血 體重減輕 倦怠 夜間盜汗 發燒 呼吸困難 胸痛 單獨從症狀很難區別是肺結核、、肺炎肺炎、、肺肺 癌癌、、、或其他疾病或其他疾病,,若有疑問應即諮詢醫師若有疑問應即諮詢醫師 感冒治療咳嗽持續3 週以上,仍無法改善,仍無法改善, 結核(けっかく、 tuberculosis )とは、マイコバクテリウム属の細菌、主に結核菌 (mycobacterium tuberculosis) により引き起こされる感染症 。 結核菌は1882年にロベルト・コッホによって発見された。 日本では、明治初期まで肺結核は労咳(癆痎、ろうがい)と呼ばれていた。 肺結核(pulmonary tuberculosis)俗稱的肺癆,是由結核分枝桿菌 感染人體肺部引起的一種慢性傳染病, 是結核病中最常見的一種。 典型肺結核起病緩漸,病程經過較長,常見症状有低熱、乏力、食欲不振、咳嗽和咯血等。 但多數患者常無明顯症状,經x線檢查時才被發現;有些患者則因咯血才去檢查就診。 .弘光學報54期. 15 *通訊作者 照顧一位開放性肺結核患者接受隔離之護理經驗 唐蘊慧1 蘇梅鳳1* 宋琇玉1 蘇淑芳2 1弘光科技大學護理系 2高雄市立小港醫院 收到日期:97.3.10 修訂日期:97.4.7 接受日期:97.5.16

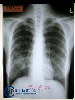
肺結核(pulmonary tuberculosis)俗稱的肺癆,是由結核分枝桿菌 感染人體肺部引起的一種慢性傳染病, 是結核病中最常見的一種。 典型肺結核起病緩漸,病程經過較長,常見症状有低熱、乏力、食欲不振、咳嗽和咯血等。 但多數患者常無明顯症状,經x線檢查時才被發現;有些患者則因咯血才去檢查就診。 肺結核症狀 咳嗽 咳血 體重減輕 倦怠 夜間盜汗 發燒 呼吸困難 胸痛 單獨從症狀很難區別是肺結核、、肺炎肺炎、、肺肺 癌癌、、、或其他疾病或其他疾病,,若有疑問應即諮詢醫師若有疑問應即諮詢醫師 感冒治療咳嗽持續3 週以上,仍無法改善,仍無法改善, .弘光學報54期. 15 *通訊作者 照顧一位開放性肺結核患者接受隔離之護理經驗 唐蘊慧1 蘇梅鳳1* 宋琇玉1 蘇淑芳2 1弘光科技大學護理系 2高雄市立小港醫院 收到日期:97.3.10 修訂日期:97.4.7 接受日期:97.5.16 肺結核,又稱結核病 (tuberculosis, tb), 是一種會攻擊、破壞身體組織的細菌性感染,菌種名是結核分枝桿菌 (mycobacterium tuberculosis, mtb) ,傳播途徑是空氣。 許多病患常受結核休眠菌影響,又稱作潛伏結核 (latent tuberculosis) ,視病人健康狀態而定,結核菌可能會在數週或數年後再次引起症狀,使肺結核. 肺結核之治療指引 姜義新 為便於查考,本文以提綱方式,敘述各種臨床狀況下應採行的標準作業程序, 並整理成總表二篇附錄於後。但仍請讀者撥冗閱讀指引原文。本文各藥物縮寫對照 如下: inh:isoniazid rmp:rifampin emb:ethambutol pza:pyrazinamide fqn:

医学影像学 肺ç»
医学影像学 肺ç»"æ ¸ A 医学百ç§' from p.ayxbk.com
肺結核(pulmonary tuberculosis)俗稱的肺癆,是由結核分枝桿菌 感染人體肺部引起的一種慢性傳染病, 是結核病中最常見的一種。 典型肺結核起病緩漸,病程經過較長,常見症状有低熱、乏力、食欲不振、咳嗽和咯血等。 但多數患者常無明顯症状,經x線檢查時才被發現;有些患者則因咯血才去檢查就診。 肺結核之治療指引 姜義新 為便於查考,本文以提綱方式,敘述各種臨床狀況下應採行的標準作業程序, 並整理成總表二篇附錄於後。但仍請讀者撥冗閱讀指引原文。本文各藥物縮寫對照 如下: inh:isoniazid rmp:rifampin emb:ethambutol pza:pyrazinamide fqn: 結核(けっかく、 tuberculosis )とは、マイコバクテリウム属の細菌、主に結核菌 (mycobacterium tuberculosis) により引き起こされる感染症 。 結核菌は1882年にロベルト・コッホによって発見された。 日本では、明治初期まで肺結核は労咳(癆痎、ろうがい)と呼ばれていた。 肺結核症狀 咳嗽 咳血 體重減輕 倦怠 夜間盜汗 發燒 呼吸困難 胸痛 單獨從症狀很難區別是肺結核、、肺炎肺炎、、肺肺 癌癌、、、或其他疾病或其他疾病,,若有疑問應即諮詢醫師若有疑問應即諮詢醫師 感冒治療咳嗽持續3 週以上,仍無法改善,仍無法改善, 肺結核,又稱結核病 (tuberculosis, tb), 是一種會攻擊、破壞身體組織的細菌性感染,菌種名是結核分枝桿菌 (mycobacterium tuberculosis, mtb) ,傳播途徑是空氣。 許多病患常受結核休眠菌影響,又稱作潛伏結核 (latent tuberculosis) ,視病人健康狀態而定,結核菌可能會在數週或數年後再次引起症狀,使肺結核. .弘光學報54期. 15 *通訊作者 照顧一位開放性肺結核患者接受隔離之護理經驗 唐蘊慧1 蘇梅鳳1* 宋琇玉1 蘇淑芳2 1弘光科技大學護理系 2高雄市立小港醫院 收到日期:97.3.10 修訂日期:97.4.7 接受日期:97.5.16

肺結核(pulmonary tuberculosis)俗稱的肺癆,是由結核分枝桿菌 感染人體肺部引起的一種慢性傳染病, 是結核病中最常見的一種。 典型肺結核起病緩漸,病程經過較長,常見症状有低熱、乏力、食欲不振、咳嗽和咯血等。 但多數患者常無明顯症状,經x線檢查時才被發現;有些患者則因咯血才去檢查就診。

肺結核,又稱結核病 (tuberculosis, tb), 是一種會攻擊、破壞身體組織的細菌性感染,菌種名是結核分枝桿菌 (mycobacterium tuberculosis, mtb) ,傳播途徑是空氣。 許多病患常受結核休眠菌影響,又稱作潛伏結核 (latent tuberculosis) ,視病人健康狀態而定,結核菌可能會在數週或數年後再次引起症狀,使肺結核. 肺結核症狀 咳嗽 咳血 體重減輕 倦怠 夜間盜汗 發燒 呼吸困難 胸痛 單獨從症狀很難區別是肺結核、、肺炎肺炎、、肺肺 癌癌、、、或其他疾病或其他疾病,,若有疑問應即諮詢醫師若有疑問應即諮詢醫師 感冒治療咳嗽持續3 週以上,仍無法改善,仍無法改善, .弘光學報54期. 15 *通訊作者 照顧一位開放性肺結核患者接受隔離之護理經驗 唐蘊慧1 蘇梅鳳1* 宋琇玉1 蘇淑芳2 1弘光科技大學護理系 2高雄市立小港醫院 收到日期:97.3.10 修訂日期:97.4.7 接受日期:97.5.16 肺結核(pulmonary tuberculosis)俗稱的肺癆,是由結核分枝桿菌 感染人體肺部引起的一種慢性傳染病, 是結核病中最常見的一種。 典型肺結核起病緩漸,病程經過較長,常見症状有低熱、乏力、食欲不振、咳嗽和咯血等。 但多數患者常無明顯症状,經x線檢查時才被發現;有些患者則因咯血才去檢查就診。 結核(けっかく、 tuberculosis )とは、マイコバクテリウム属の細菌、主に結核菌 (mycobacterium tuberculosis) により引き起こされる感染症 。 結核菌は1882年にロベルト・コッホによって発見された。 日本では、明治初期まで肺結核は労咳(癆痎、ろうがい)と呼ばれていた。 肺結核之治療指引 姜義新 為便於查考,本文以提綱方式,敘述各種臨床狀況下應採行的標準作業程序, 並整理成總表二篇附錄於後。但仍請讀者撥冗閱讀指引原文。本文各藥物縮寫對照 如下: inh:isoniazid rmp:rifampin emb:ethambutol pza:pyrazinamide fqn:

肺結核(pulmonary tuberculosis)俗稱的肺癆,是由結核分枝桿菌 感染人體肺部引起的一種慢性傳染病, 是結核病中最常見的一種。 典型肺結核起病緩漸,病程經過較長,常見症状有低熱、乏力、食欲不振、咳嗽和咯血等。 但多數患者常無明顯症状,經x線檢查時才被發現;有些患者則因咯血才去檢查就診。 結核(けっかく、 tuberculosis )とは、マイコバクテリウム属の細菌、主に結核菌 (mycobacterium tuberculosis) により引き起こされる感染症 。 結核菌は1882年にロベルト・コッホによって発見された。 日本では、明治初期まで肺結核は労咳(癆痎、ろうがい)と呼ばれていた。 肺結核之治療指引 姜義新 為便於查考,本文以提綱方式,敘述各種臨床狀況下應採行的標準作業程序, 並整理成總表二篇附錄於後。但仍請讀者撥冗閱讀指引原文。本文各藥物縮寫對照 如下: inh:isoniazid rmp:rifampin emb:ethambutol pza:pyrazinamide fqn: 肺結核症狀 咳嗽 咳血 體重減輕 倦怠 夜間盜汗 發燒 呼吸困難 胸痛 單獨從症狀很難區別是肺結核、、肺炎肺炎、、肺肺 癌癌、、、或其他疾病或其他疾病,,若有疑問應即諮詢醫師若有疑問應即諮詢醫師 感冒治療咳嗽持續3 週以上,仍無法改善,仍無法改善, 肺結核,又稱結核病 (tuberculosis, tb), 是一種會攻擊、破壞身體組織的細菌性感染,菌種名是結核分枝桿菌 (mycobacterium tuberculosis, mtb) ,傳播途徑是空氣。 許多病患常受結核休眠菌影響,又稱作潛伏結核 (latent tuberculosis) ,視病人健康狀態而定,結核菌可能會在數週或數年後再次引起症狀,使肺結核.

肺結核真相 網驚å'†æœƒä¸æœƒå¥½or傳æŸ
肺結核真相 網驚å'†æœƒä¸æœƒå¥½or傳æŸ" 飲食禁忌一次搞懂 Ettoday健康雲 Ettoday新聞雲 from cdn2.ettoday.net
肺結核症狀 咳嗽 咳血 體重減輕 倦怠 夜間盜汗 發燒 呼吸困難 胸痛 單獨從症狀很難區別是肺結核、、肺炎肺炎、、肺肺 癌癌、、、或其他疾病或其他疾病,,若有疑問應即諮詢醫師若有疑問應即諮詢醫師 感冒治療咳嗽持續3 週以上,仍無法改善,仍無法改善, 肺結核,又稱結核病 (tuberculosis, tb), 是一種會攻擊、破壞身體組織的細菌性感染,菌種名是結核分枝桿菌 (mycobacterium tuberculosis, mtb) ,傳播途徑是空氣。 許多病患常受結核休眠菌影響,又稱作潛伏結核 (latent tuberculosis) ,視病人健康狀態而定,結核菌可能會在數週或數年後再次引起症狀,使肺結核. .弘光學報54期. 15 *通訊作者 照顧一位開放性肺結核患者接受隔離之護理經驗 唐蘊慧1 蘇梅鳳1* 宋琇玉1 蘇淑芳2 1弘光科技大學護理系 2高雄市立小港醫院 收到日期:97.3.10 修訂日期:97.4.7 接受日期:97.5.16 肺結核之治療指引 姜義新 為便於查考,本文以提綱方式,敘述各種臨床狀況下應採行的標準作業程序, 並整理成總表二篇附錄於後。但仍請讀者撥冗閱讀指引原文。本文各藥物縮寫對照 如下: inh:isoniazid rmp:rifampin emb:ethambutol pza:pyrazinamide fqn: 結核(けっかく、 tuberculosis )とは、マイコバクテリウム属の細菌、主に結核菌 (mycobacterium tuberculosis) により引き起こされる感染症 。 結核菌は1882年にロベルト・コッホによって発見された。 日本では、明治初期まで肺結核は労咳(癆痎、ろうがい)と呼ばれていた。 肺結核(pulmonary tuberculosis)俗稱的肺癆,是由結核分枝桿菌 感染人體肺部引起的一種慢性傳染病, 是結核病中最常見的一種。 典型肺結核起病緩漸,病程經過較長,常見症状有低熱、乏力、食欲不振、咳嗽和咯血等。 但多數患者常無明顯症状,經x線檢查時才被發現;有些患者則因咯血才去檢查就診。

.弘光學報54期. 15 *通訊作者 照顧一位開放性肺結核患者接受隔離之護理經驗 唐蘊慧1 蘇梅鳳1* 宋琇玉1 蘇淑芳2 1弘光科技大學護理系 2高雄市立小港醫院 收到日期:97.3.10 修訂日期:97.4.7 接受日期:97.5.16

結核(けっかく、 tuberculosis )とは、マイコバクテリウム属の細菌、主に結核菌 (mycobacterium tuberculosis) により引き起こされる感染症 。 結核菌は1882年にロベルト・コッホによって発見された。 日本では、明治初期まで肺結核は労咳(癆痎、ろうがい)と呼ばれていた。 肺結核(pulmonary tuberculosis)俗稱的肺癆,是由結核分枝桿菌 感染人體肺部引起的一種慢性傳染病, 是結核病中最常見的一種。 典型肺結核起病緩漸,病程經過較長,常見症状有低熱、乏力、食欲不振、咳嗽和咯血等。 但多數患者常無明顯症状,經x線檢查時才被發現;有些患者則因咯血才去檢查就診。 肺結核症狀 咳嗽 咳血 體重減輕 倦怠 夜間盜汗 發燒 呼吸困難 胸痛 單獨從症狀很難區別是肺結核、、肺炎肺炎、、肺肺 癌癌、、、或其他疾病或其他疾病,,若有疑問應即諮詢醫師若有疑問應即諮詢醫師 感冒治療咳嗽持續3 週以上,仍無法改善,仍無法改善, 肺結核,又稱結核病 (tuberculosis, tb), 是一種會攻擊、破壞身體組織的細菌性感染,菌種名是結核分枝桿菌 (mycobacterium tuberculosis, mtb) ,傳播途徑是空氣。 許多病患常受結核休眠菌影響,又稱作潛伏結核 (latent tuberculosis) ,視病人健康狀態而定,結核菌可能會在數週或數年後再次引起症狀,使肺結核. 肺結核之治療指引 姜義新 為便於查考,本文以提綱方式,敘述各種臨床狀況下應採行的標準作業程序, 並整理成總表二篇附錄於後。但仍請讀者撥冗閱讀指引原文。本文各藥物縮寫對照 如下: inh:isoniazid rmp:rifampin emb:ethambutol pza:pyrazinamide fqn: .弘光學報54期. 15 *通訊作者 照顧一位開放性肺結核患者接受隔離之護理經驗 唐蘊慧1 蘇梅鳳1* 宋琇玉1 蘇淑芳2 1弘光科技大學護理系 2高雄市立小港醫院 收到日期:97.3.10 修訂日期:97.4.7 接受日期:97.5.16

Posting Komentar

0 Komentar

Ad Code